当院の入れ歯治療
入れ歯でお悩みの方へ
入れ歯だからと言って、美味しいものを食べるのを諦めていませんか?
人前に出るのをためらっていませんか?
当院を受診された入れ歯の患者さんの入れ歯に関する不満は・・・
- 入れ歯が動いたり、はずれるのでよく噛めない。
- 入れ歯がはずれるので、人前で話が出来ない。
- 入れ歯のバネの金属が見えてしまうので気になる。
- 口元にシワが寄って、顔が老けて見える。
- どうしても入れ歯の違和感が我慢できない。
- 噛めるけれど、食べ物の食感や温度が感じられず味気ない。
- 発音しにくい。
などなど、多くの不満があるようです。しかし、よく拝見しますとほとんどの例ではそれなりの原因があり、またそれなりの解決策があるようです。
当院では、入れ歯の専門家として皆さんのお悩みを伺い、入れ歯でも快適な生活が送れる様に、個々の患者さんに合った色々なタイプの入れ歯をご用意しております。
「入れ歯の無料検診」のお知らせ
入れ歯に関してのお悩み沢山あると思います。入れ歯の専門家として皆さんのお悩みを伺って、快適になるためのアドバイスをしております。症例によっては、その場で調整するだけで改善する場合もございます。健康保険の範囲内で済む事も有ります。より快適な入れ歯をご希望の場合、保険外となりますが、症例に応じて多くの選択肢がありますので、どうすればより快適になるかを症例写真等を使って解り易くご説明いたします。
次のようなお悩みのある方は是非ご相談ください。
- 会話中や食事中に入れ歯が動いたり外れたりする。
- バネの金属が見えるのが気になる。
- 入れ歯の歯(人工歯)の審美性を改善したい。
- もっとしっかりと噛めるようになりたい。
- 違和感の少ない、装着感の良い入れ歯が欲しい。
- 壊れにくく長持ちする入れ歯が欲しい。
- 入れ歯の汚れが気になる。
他にも色々とあると思いますが、きっと解決する方法が見つかると思いますのでお気軽にご相談ください。しっかりとお時間をかけてお話をお伺いしたいので、ご希望の方は必ずお電話でのご予約をお願い致します。
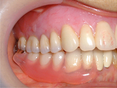
入れ歯治療例
女性 昭和12年生まれ
この患者さんは、数十年間歯科治療を受けた事がなく、痛い時はじっとガマンをしたため、その間に自然に何本かは抜けてしまったそうです。もちろん入 れ歯を入れた事もありません。この状態でもどうにか食べる事は出来たようですが、ご家族の強いすすめもあって、意を決して来院されました。
来院された時は、残存歯16本中、13本が歯の頭の部分(歯冠部)は崩壊し、根だけが残っている状態でした。虫歯と歯周病の進行状態から、上顎は6 本、下顎は3本抜歯となりました。審美性を考慮して、出来るだけ早く仮義歯を作り、ある程度食べられる状態にしました。(初診より50日後に仮義歯装着) 抜歯、根管治療、歯周処置を終えた後、患者さんの希望・年齢・し好等を参考にして、義歯の設計をしました。
本症例の場合、上下顎共に残存歯の上に義歯を乗せる、いわゆる「残根上の総義歯」にしました。下顎には、義歯の安定のためマグネットを入れました。治療期間は13ヶ月を要しました。
術前
術後
こちらの症例は、残存している歯の治療や入れ歯の制作を含めて1,500,000円(税込)となりました。一般的に入れ歯治療は患者さんによっては異物感を持たれる方がいらっしゃいます。また、イプラントと違い多少の動きが生じてしまうことがあります。
マグネット(磁石)の入れ歯
テレビでも紹介された、「お口にピッタリ吸い付く」マグネット義歯をご存知ですか?磁石ってピッタリ吸い付いてなかなか離れませんよね。この力を入れ歯の維持装置に応用したのがマグネット義歯です。
今までのバネ式の維持装置(クラスプ)と違って遊びが無いので、はずれたり、動いたりという不快症状が減少します。当院の患者さんのお話では、マグネット3つで、おもちを食べても落ちないそうです。
マグネットの数が増えれば、維持力は強大となりますが、まずは今お使いの局部義歯のクラスプを1つマグネットに取り替えるだけで、その効果は実感できると思います。
マグネット使用義歯を新製すると原則的には保険適用外になりますが、これならばマグネット装置の費用と義歯の修理代だけで済みます。
(当院ではマグネット装置1つ当り65,000円(税込)です)
症例1
使用中のクラスプ義歯にマグネットを入れた修理後の状態
こちらの症例は、マグネット装置と修理代で200,000円(税込)となりました。マグネット装置は MRI 検査の際に映像の乱れを生じることがあります。
症例2
クラスプとマグネットを併用したチタン床義歯
(※約25年間使用していただいております。
こちらの症例は、マグネット装置と入れ歯の制作料で、320,000円(税込)となりました。マグネット装置は MRI 検査の際に映像の乱れを生じることがあります。
インプラントオーバーデンチャー
入れ歯とインプラントを併用した、新しい発想の治療法です。今のお口の状態に、1~数本のインプラントを埋入し、そこにマグネットを装着することで入れ歯の維持力、安定性、快適性、審美性などが大幅に向上します。一般的なインプラント治療に比べ費用が少なくてすみます。 下の症例では2本のインプラントを入れたことで、バネを使用することなく動かない入れ歯にすることが出来ました。
症例
こちらの症例は、インプラント3本と入れ歯の制作料で、1,200,000円(税込)となりました。マグネット装置は MRI 検査の際に映像の乱れを生じることがあります。
その他の入れ歯
チタン床義歯(軽くて丈夫な入れ歯)
こちらの入れ歯の制作料は350,000円(税込)となりました。チタン床は熱伝導率が高く丈夫で違和感が少ない材質ですが、非常に稀なケースとしてチタンに対して金属アレルギーを発症する方がいるという報告があります。
マグネット義歯(ぴったり吸い付く入れ歯)
こちらの症例は、マグネット装置が5つ付いたマグネット義歯で、制作料は700,000円(税込)となりました。マグネット装置は MRI 検査の際に映像の乱れを生じることがあります。
TMCシステム(着脱式のブリッヂ)
上顎 1,500,000円(税込)となりました。マグネット装置は MRI 検査の際に映像の乱れを生じることがあります。
シリコン義歯(吸い付く総入れ歯)
※白っぽく見えるのが生体シリコンです。
こちらの症例は、入れ歯の制作料1,200,000円(税込)となりました。マグネット装置は MRI 検査の際に映像の乱れを生じることがあります。
ノンクラスプデンチャー(バネの見えない部分入れ歯)
術前
術前
上顎 200,000円(税込)となりました。素材の特性上、修理ができない場合があります。


















